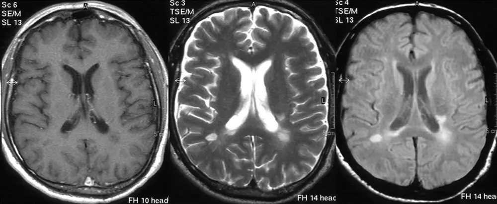
IRM

On pratique cet examen afin de vérifier la présence ou l’absence de métastases du cancer dans le cerveau.J’en ai passé 4 en un an.
Le principe repose sur la résonance magnétique nucléaire, la RMN : ’examen devrait s’appeler IRMN, mais le mot “nucléaire” étant source d’angoisse pour le grand public, on a fait sauter le N..
De façon très simplifiée, l’idée est de reconstruire une image à partir des informations sur ‘l’orientation” (spin) des noyaux des atomes de la zone concernée quand ils sont soumis à un fort champ magnétique. On peut alors reconstruire des images en 3 dimensions, notamment avec des calculs mathématiques qui reposent sur les ondelettes, le même objet mathématique dont on se sert dans certains alogithmes de compression d’image.
C’est à cause de ce champ magnétique intense, sans aucun danger pour les cellules humaines, qu’on vous demander de retirer tout ce qui est métalique : poche vidées, pas de bijoux, montre, percing, appareil dentaire ou auditif, etc. Les implants chirurgicaux ou dentaires, qui ne peuvent bien sûr pas être retirés ne posent aucun problème pour passer cet examen.

On vous alonge sur une “planche”, puis, avant de commencer l’examen, on prépare une seringue contenant du gadolinium. un métal de la famille des lanthanides. Il n’est pas radioactif (enfin pas plus que le reste…). On l’utilise comme produit de contraste afin de produire des images plus détaillées.
Une fois installé et perfusé, on vous met un casque audio sur les oreilles et la machine vous déplace jusqu’à la la zone concernée, l’examen peut commencer.
Le casque sert à vous protéger du bruit. La machine va en produire tout un tas, des sons différents, des bruits de marteau piqueur, d’autres qui font penser à une vielle imprimante, des bips, des clacs, etc. Parfois, on vous met de la musique dans le casque. Je préfère ne pas en avoir, car la musique choisie me convient rarement.
Au bout de quelques minutes, on vous injecte le gadolinium, et l’examen continue. Je n’ai personnelement jamais ressenti d’effet lorsqu’on envoie le produit dans mes veines. Dans mon cas, la procédure complète dure généralement une dizaine de minutes. On vous retire alors la perfusion, il n’y a plus qu’à attendre les résultats.